Navigation switch
首页
KPL
商业版图
娱乐
二手房
智能硬件
证券
更多
艺术品
健康
酒店
科技
汽车
新闻
生活
时尚
食品
教育
亲子
体育
最新
“斑马阅读大通关”正式上线,助力儿童读写能力提升
近日,斑马儿童科教集团旗下斑马AI学正式推出“斑马阅读大通关”。该产品以“从篇章精读到整本书阅读,以体系化阅读训练,全面提升读写能力”为核心定位,助力儿童阅读量积累,从小培养科学阅读、自主阅读的好习惯。
货拉拉品牌形象焕新:幽默、靠谱又热心的“老司机”登场!
“穿着橙灰色货拉拉套装,头戴帽子和墨镜,留着八字胡,手比点赞手势,开车、搬运、装卸样样能行……”4月2日,货拉拉全新品牌形象“老司机”正式上线,以平台货运司机为原型进行创意设计,凭借幽默、靠谱、热心的性格特质,以及专业的开车、搬运、装卸技能,生动代表了货拉拉平台上广大辛勤服务、值得信赖的司机群体,同时也将货拉拉致力于为用户提供专业、可靠、便捷货运服务的品牌精神具象化。
毛源昌赴港IPO,体量小波动大壁垒薄
4月2日,拥有160余年历史的中华老字号眼镜企业——毛源昌正式向港交所递交主板上市申请,拟发行H股募资。
同仁堂老马失蹄,全线失守
3月31日,同仁堂发布2025年业绩报告:公司全年实现营业172.56亿元,同比下降7.21%;归母净利润为11.89亿元,同比下降22.07%。
“金戈”卖不动,速效救心丸却卖爆了
人类的悲喜并不相同,医药市场亦是如此。
28亿!国药系成立新公司
国药控股成立一供应链公司。
啤酒T6业绩拆解:分化、提质、集中,释放酒业“拐点”讯号?
五年间,啤酒行业完成了一场全方位的转型蝶变,综合竞争力实现质的飞跃,高质量发展新周期之门,已经率先开启。
与辉同行公布优思益退赔方案:全额退款
4月1日,央视曝光“澳洲优思益”虚构海外产地、伪造品牌背景,所谓墨尔本工厂实为汽修厂,产品实为国内代工生产。
ST西发董事长失联
ST西发4月2日晚间公告,公司近期无法与董事长罗希取得联系,其暂时无法履行董事长职责。
小米宣布部分手机涨价200元
4月3日,小米发布公告。
友情链接
中文资讯网
数字资产网
区块链网
科技在线
财富综合资讯
女性时尚网
在线新闻
派农源-文化旅游资讯
财经新闻网
环球快讯
世界新闻网
全网新闻门户
全网新闻门户
南方新闻网
四方新闻
猛料新闻门户
安徽新闻网
数码新闻
人人新闻
区块新闻网
日报新闻
奇奇新闻网
上海科技网
信阳新闻
武威新闻
影视追踪
青岛新闻
微商新闻
Global商务
巴士快讯
中国报刊网
东北资讯
平阳网
多维新闻门户
旅行快讯
物联网
5G 模组在线
海外推广资讯
海外发稿网
海外推广
汽车
委员说稳住情绪五脏六腑才不会长东西 道长一句话点破养生秘诀
“养生嘛,我看你们养得都不错!起码脸上都有光。”两会现场,全国政协委员、中国道教协会副会长张高澄对记者们笑道。他提到,养生最重要的是要养好“精气神”,要学会正确地休息。...
03-11
家人住院建议给15天陪护假 代表建议设夫妻陪护假解决住院无人陪
全国人大代表陈燕对记者表示,在现行休假体系中,针对夫妻间的专项陪护制度仍属空白。尤其在独生子女家庭中,一旦配偶因病住院或需要术后康复,家庭成员往往面临“上有老、下有小、配偶得病无人照顾”的双重压力。建议建立夫妻陪护假制度,明确设置每年15至...
03-11
中国苏绣当代艺术展亮相伦敦
人民网伦敦3月10日电(记者许立群)3月5日至15日,“苏绣:一项千年传统的觉醒”主题展在伦敦皇家地理学会展览厅向公众开放。《骷髅幻戏图之一》2017年70x70厘米。中国广西师范大学出版社供图该展览
03-11
(全国两会)全国政协委员李为民:多措并举 提升耐药结核防控能力
中新网北京3月11日电 (记者 王鹏)全国两会期间,全国政协委员、四川大学华西医院原院长李为民接受记者采访时表示,建议从基层能力建设、诊疗体系优化和科技攻关等方面入手,进一步提升我国耐药结核防控能力。
03-11
(全国两会)协商民主,贵在“务实管用”
中新社北京3月11日电 题:协商民主,贵在“务实管用” 中新社记者 杨程晨 全国政协十四届四次会议11日在北京闭幕。7天会期里,2000多名委员围绕“十五五”规划制定实施、推进中国式现代化等重大议题深入协商讨论,广
03-11
从保“鲜”到传“香” 黄土塬妇女巧手撑起乡村产业“半边天”
中新网兰州3月11日电 (盘小美)3月中旬的黄土高原,春寒料峭。清晨,甘肃省庆阳市西峰区温泉镇米堡村庆阳汇果塬果蔬有限责任公司的果库里,几十名工人有条不紊地开展苹果分拣、打包、装运等作业,一箱箱苹果已经码放整
03-11
“赘肉换牛肉”,无锡一街道发起减重挑战赛
中新网3月11日电 近日,江苏省无锡市梁溪区山北街道发起了一项健康减重挑战赛,可以用“赘肉换牛肉”,“2027年1月1日——10日为最终称重兑奖期,凡是参加活动的人员可以赘肉换牛肉:减重1斤赘肉换1斤牛肉或换3斤牛骨
03-11
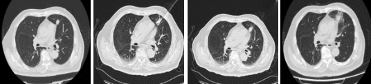
上海医生仅用35分钟一针消融病灶 机器人导航精准治疗
近日,上海市东方医院肿瘤科周彩存教授团队成功为一名高龄、肺功能基础差且病灶紧贴心脏的肺癌患者实施了机器人辅助下经皮穿刺消融手术
03-04
金饰克价跌回1603元 金价波动引关注
2026年3月1日,国际黄金价格升至5279.8美元/盎司。品牌金饰报价在1555至1608元/克之间,银行金条价格差异较大,水贝市场批发价约1330元/克,回收价约1148元/克
03-04
利弗莫尔中概股龙头指数收跌3.67%
利弗莫尔中概股龙头指数收跌3.67%。成分股中,南茂跌超11%,希尔威金属矿业跌9%,金山云、晶科能源跌超8%,小马智行、信也科技等跌超7%,小鹏汽车、唯品会等跌超6%,爱奇艺、奇富科技等跌逾5%;AHG涨10%,携程网、网易小幅上涨。...
03-04
首页
上一页
10
11
12
13
14
15
16
下一页
尾页
每页10条(第
13
/ 241 页) 共 2404 条
返回顶部
最新
“斑马阅读大通关”正式上线,助力儿童读写能力提升
货拉拉品牌形象焕新:幽默、靠谱又热心的“老司机”登场!
毛源昌赴港IPO,体量小波动大壁垒薄
同仁堂老马失蹄,全线失守
“金戈”卖不动,速效救心丸却卖爆了
28亿!国药系成立新公司
©版权 2009-2020 平阳网
联系我们
SiteMap